稳定的股骨粗隆间骨折治疗方法
*** 次数:1999998 已用完,请联系开发者***
新泰市人民医院微创治疗助患者髋部康复通讯员 周峰 郑萍近日,90岁的杨先生,因在家跌倒摔伤致右髋部后疼痛7小时后来到新泰市人民医院,入院诊断为右股骨粗隆间骨折,完善检查后,行... 严格按照医院制定的高龄骨折围手术期管理流程,评估手术风险、制定周密治疗方案,申请开展心内科、呼吸内科、重症医学科及麻醉科等多学...

╯▽╰ 挑战“胸廓畸形”病人的麻醉难题也会给医疗带来难题。上个月,骨外科收治了60岁的陈大妈,她因为走路时不慎摔倒导致右侧股骨粗隆间骨折,经诊断和评估需要做股骨粗隆间闭... 一方面是选择麻醉方式,另一方面是手术中的麻醉管理。麻醉过程中一旦出现意外,大妈的心功能和肺功能衰竭,会危及生命。患者的胸部CT显示...

99岁老人遭遇“人生最后一次骨折”,医生多学科协作化解风险股骨粗隆间骨折会严重影响患者生存质量,再加上患者年龄偏高,风险极大。经过了解患者与家属的手术意愿,最终决定实施手术治疗。患者高血... 骨折断裂移位引起患者关节活动受限,同时患者会因为患肢活动加重骨折端的疼痛,从而拒绝活动。(5)患肢外旋、短缩畸形。3.治疗治疗方法包...

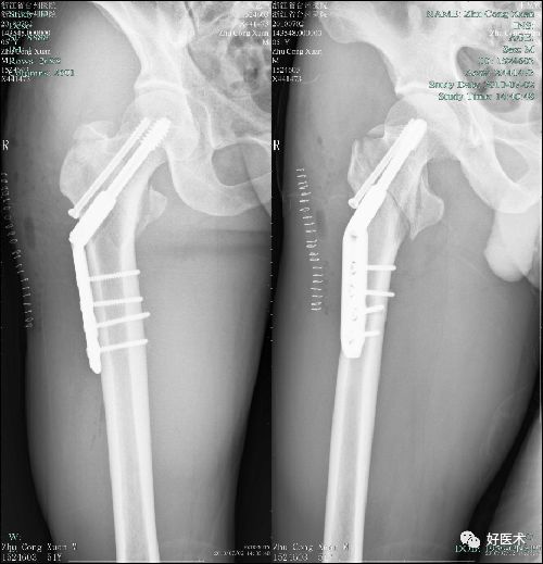
让老年患者告别“最后一次骨折” 海北州二院创伤中心进入微创时代仔细查体并结合患者影像记录制定手术方案,与当地医生交流讨论、充分评估手术风险、取得患者及家属同意后,制订了微创治疗闭合复位PFN... 在微创治疗出现前,业内常称该处骨折为“老年人的最后一次骨折”。随着生活水平的提高,超高龄股骨粗隆间骨折患者逐渐增加,如何提高围术...

迅达加速器部分文章、数据、图片来自互联网,一切版权均归源网站或源作者所有。
如果侵犯了你的权益请来信告知删除。邮箱:xxxxxxx@qq.com
上一篇:稳定的股骨粗隆间骨折治疗方法
下一篇:手机如何登陆外网